Нанопокрытие зубов белой эмалью
Отбеливание зубов не показано когда на эмали много дефектов или при повышенной чувствительности зубов.
Учеными США было создано нанопокрытие зубов, окрашивающее их в белый цвет и , к тому же, не вредящее эмали. Это покрытие белой эмалью - тонким лаком из наночастиц, придающих зубам светлый оттенок.
![]() |
![]() |
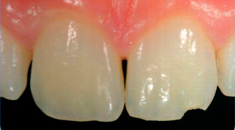
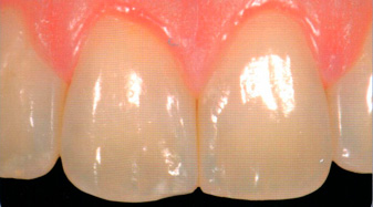
| до | после |
Предварительно зубы очищают специальным порошком, а потом наносят спец-состав, связывающий эмаль с нанопокрытием. Затем, кисточкой, наносят спец-лак со светлыми частицами, который покрывает зубную эмаль и делает ее гораздо светлее - в среднем на 8-9 оттенков. Состав держится примерно полтора-два года, медленно истираясь. Его можно обновить или вернуться к первоначальному виду эмали.
Вместе с отбеливанием снимается проблемах гиперчувствительности зубов - нанопокрытие герметизирует и изолирует от раздражителей поврежденную эмаль.
Процедура абсолютно безвредна в любом возрасте. Длительность её 1 час.
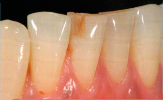
| Варианты применения нанопокрытия | |
| До | После |
![]() |
![]() |
![]() |
![]() |
![]() |
![]() |
![]() |
![]() |













